Accéder au contenu principal
Recherche
Rechercher :
Laurène Selaudoux
Pédicure-podologue à Vitry-sur-Seine (94400)
Menu
Podologie & Semelles orthopédiques
Pédicurie : Soins des pieds
Traitements & Soins spécialisés
Le cabinet
A à Z
Les News
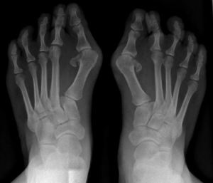
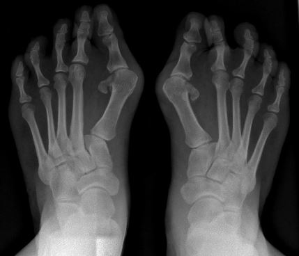
Radiographies d’hallux valgus
Navigation des articles
Article précédent
Radiographies d’hallux valgus
Laisser un commentaire
Annuler la réponse.
Δ
Créez un site ou un blog sur WordPress.com
Commentaire
S'abonner
Abonné
Laurène Selaudoux
M’inscrire
Vous disposez déjà dʼun compte WordPress ?
Connectez-vous maintenant.
Laurène Selaudoux
S'abonner
Abonné
S’inscrire
Connexion
Copier lien court
Signaler ce contenu
Voir la publication dans le Lecteur
Gérer les abonnements
Réduire cette barre